En esta noticia

Lograr dientes blancos y libres de sarro representa un reto, pero hay un método casero con un ingrediente sencillo que puede mejorar la apariencia de la sonrisa.

Si bien este método no sustituye la consulta con el odontólogo, se presenta como una opción práctica que se puede probar en casa como alternativa natural.

Ni vinagre ni limón: el método mágico para eliminar el sarro de los dientes
Ni vinagre ni limón: el método mágico para eliminar el sarro de los dientes

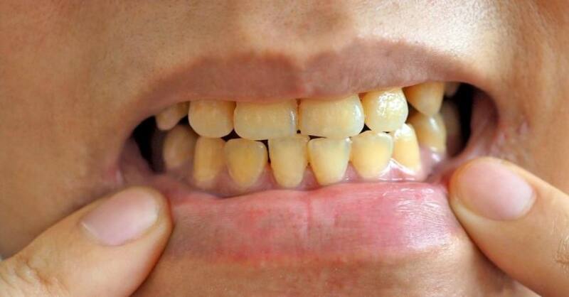
¿Qué constituye el sarro dental?

El sarro dental es una acumulación dura de placa bacteriana que se forma sobre los dientes y las encías. Tiene un color amarillento y su aparición se debe a la mezcla de bacterias, restos de comida y saliva.

Si no se elimina con una higiene adecuada, puede convertirse en un problema más serio. Siempre es recomendable visitar a un dentista cada 6 meses o al menos una vez al año.

El bicarbonato y sal para blanquear dientes y combatir el sarro

El bicarbonato de sodio es habitual en muchos hogares y es famoso por su capacidad para eliminar manchas en los dientes. Al mezclarlo con sal, el efecto puede ser más potente para combatir el sarro y blanquear los dientes.

Para usar este método es necesario seguir ciertos pasos:

  • Preparar la mezcla: en un recipiente pequeño, combinar una cucharadita de bicarbonato de sodio con una cucharadita de sal.
  • Humedecer el cepillo: mojar el cepillo de dientes con agua tibia para facilitar la aplicación.
  • Cepillar con la mezcla: usar la mezcla como si fuera pasta dental. Cepillar los dientes con movimientos circulares, prestando especial atención a las zonas donde se acumula el sarro.
  • Dejar actuar y enjuagar: esperar que la mezcla actúe en los dientes durante unos minutos. Luego, enjuagar bien con agua tibia para eliminar cualquier residuo.

Este procedimiento no debe repetirse con frecuencia, ya que su uso excesivo puede dañar el esmalte dental. Se aconseja hacerlo ocasionalmente.

¿Cuáles son las consecuencias de no eliminar el sarro a tiempo?

Si el sarro no se elimina a tiempo, puede provocar varios problemas de salud bucal, como gingivitis, que causa inflamación y sangrado en las encías.

También se puede presentar periodontitis, una infección avanzada que ocasiona la pérdida de dientes y caries por la acumulación de bacterias.

Beneficios del bicarbonato de sodio para la salud dental

Además de utilizar bicarbonato de sodio y sal, se puede incorporar el uso de aceite de coco en la rutina de higiene bucal. Este aceite tiene propiedades antimicrobianas que ayudan a reducir la placa y mejorar la salud de las encías.

Es importante recordar que una dieta equilibrada también juega un papel crucial en la salud dental. Consumir alimentos ricos en calcio y vitamina D puede fortalecer los dientes y prevenir la formación de sarro.