

- Cuál es la mejor manera de eliminar el sarro dental
- Enfermedades bucales: gingivitis, periodontitis, caries, halitosis y sensibilidad dental
- ¿Por qué es crucial eliminar el sarro dental y cada cuánto visitar al dentista?
- ¿Cuáles son las técnicas más efectivas para cepillarse los dientes y evitar la formación de sarro?
El sarro dental se forma por una película bacteriana mineralizada que se adhiere entre las encías y los dientes, lo que puede causar graves problemas de salud bucal.
Una manera eficaz de prevenir el sarro es mantener una higiene adecuada de los dientes, cepillándolos de dos a tres veces al día y usando hilo dental para eliminar la placa.
Cuál es la mejor manera de eliminar el sarro dental
La forma más eficaz de eliminar el sarro de los dientes es a través de una limpieza regular hecha por un odontólogo. Las visitas al dentista para eliminar la placa deben realizarse cada 6 meses o, al menos, una vez al año, dependiendo de la tendencia del paciente a padecer esta condición.
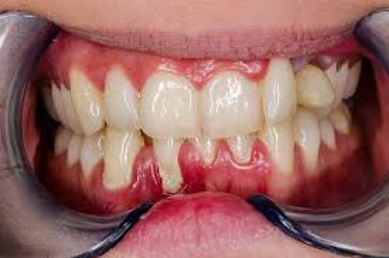
La acumulación de sarro en los dientes puede ocasionar diversas enfermedades que afectan la salud y la estética bucal, ya que las bacterias acumuladas en la línea de las encías pueden causar su retracción, dejando las raíces del diente expuestas y aumentando el riesgo de pérdida de la pieza dental.

Enfermedades bucales: gingivitis, periodontitis, caries, halitosis y sensibilidad dental
Gingivitis: es la inflamación de las encías provocada por la placa en la boca. Las bacterias acumuladas dañan las encías, causando inflamación y sangrado.
Periodontitis: es el avance de la gingivitis que provoca la retracción de las encías y la destrucción del hueso que sostiene los dientes, lo que puede llevar a la pérdida dental.
Caries: son bacterias que dañan la estructura del diente y generan agujeros o cavidades en la pieza dental. Las caries surgen cuando las bacterias metabolizan el azúcar acumulado y producen un ácido que destruye el esmalte dental.
Halitosis: es el mal aliento causado por la proliferación excesiva de bacterias que producen azufre y generan un mal olor en la saliva.
Sensibilidad dental: la inflamación o retracción de las encías puede dejar expuestos los nervios de los dientes, causando sensibilidad a alimentos y bebidas calientes o frías.
¿Por qué es crucial eliminar el sarro dental y cada cuánto visitar al dentista?
El sarro dental debe eliminarse con cuidado por un odontólogo usando herramientas especiales, como curetas, raspadores dentales y ultrasonido para quitar la placa de forma segura y eficaz.
Además de seguir una rutina de higiene bucal adecuada, es esencial evitar la acumulación de sarro en los dientes asistiendo a un dentista o especialista en periodoncia cada 6 meses o, como máximo, una vez al año, para que el odontólogo limpie las áreas afectadas.
¿Cuáles son las técnicas más efectivas para cepillarse los dientes y evitar la formación de sarro?
Impacto del sarro dental en la salud sistémica y prevención
El sarro dental no solo afecta la salud bucal, sino que también puede tener repercusiones en la salud general, ya que las bacterias pueden ingresar al torrente sanguíneo y contribuir a enfermedades sistémicas como problemas cardíacos. Por lo tanto, es esencial abordar la higiene bucal como parte de un enfoque integral para el bienestar.
Además de la limpieza profesional, el uso de enjuagues bucales antimicrobianos puede ser beneficioso para reducir la cantidad de bacterias en la boca y prevenir la formación de sarro. Estos productos complementan la higiene diaria y ayudan a mantener un aliento fresco y encías saludables.













