

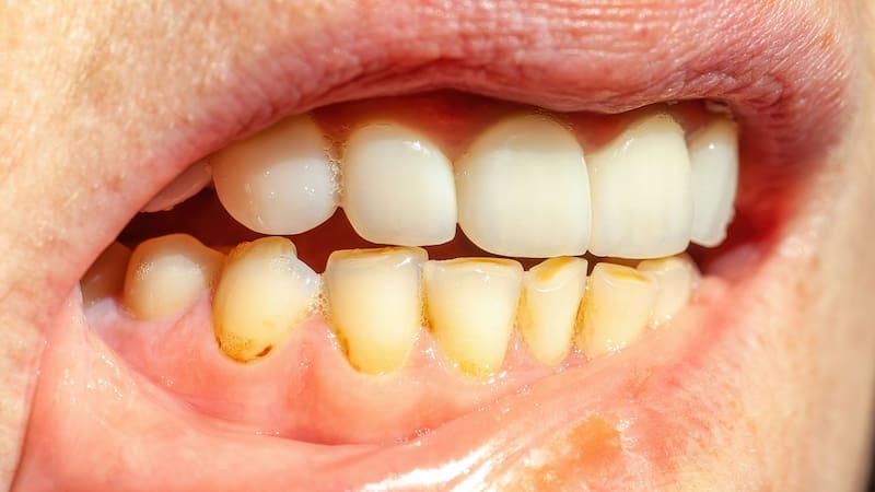
El sarro de los dientes es una capa endurecida formada por la acumulación de placa bacteriana que se adhiere a la superficie entre las encías y los dientes. Esta sustancia calcificada puede derivar en serios trastornos de salud oral si no se trata a tiempo.
Una forma eficaz de impedir la formación del sarro es mantener una adecuada limpieza dental, cepillándose los dientes al menos dos o tres veces por día y utilizando hilo dental para eliminar los restos de placa entre las piezas dentarias.
¿Cuál es método más efectivo para eliminar el sarro de los dientes?
La forma más segura y eficiente de quitar el sarro ya formado es con una limpieza profesional realizada por un odontólogo. Se recomienda concurrir al consultorio cada seis meses o, como mínimo, una vez por año, según el grado de predisposición de cada persona a esta condición.
Cuando el sarro se acumula, no solo afecta la estética de la sonrisa, sino que también puede dar lugar a enfermedades bucales. La presencia constante de bacterias en la línea de la encía puede provocar su retracción, dejando expuestas las raíces de los dientes y facilitando su posible caída.
¿Cuáles son las enfermedades asociadas al sarro en los dientes?
Algunas de las afecciones más comunes que se relacionan con el sarro de los dientes son:
- Gingivitis: inflamación de las encías ocasionada por la placa bacteriana. Se manifiesta con enrojecimiento, hinchazón y sangrado durante el cepillado.
- Periodontitis: evolución severa de la gingivitis que compromete el hueso de soporte de los dientes. Puede terminar con la pérdida definitiva de la pieza dentaria.
- Caries: las bacterias presentes metabolizan los azúcares, generando ácidos que dañan el esmalte y provocan cavidades.
- Halitosis: el mal aliento es producido por bacterias que liberan compuestos sulfurados, generando un olor desagradable en la boca.
- Hipersensibilidad dental: cuando las encías se retraen, los nervios quedan más expuestos, causando dolor al consumir alimentos o bebidas frías y calientes.
¿Cada cuánto tiempo hay que ir al odontólogo para remover el sarro?
La eliminación del sarro debe realizarla un profesional dental utilizando herramientas específicas como curetas, raspadores manuales y aparatos de ultrasonido que permiten despegar la placa sin dañar el diente.
Además de una rutina diaria de higiene oral, lo recomendable es acudir al dentista o a un periodoncista cada seis meses, o una vez por año como máximo, para realizar una limpieza profunda en las zonas donde el cepillo no alcanza.

¿Cómo cepillarse correctamente para evitar la formación de sarro?
Para poder tener una buena salud mental es necesario cepillarse correctamente:
- Cepillado frecuente: después de cada comida y antes de dormir, con movimientos suaves y cortos, sin ejercer demasiada presión. Es clave que el cepillo abarque dos o tres dientes por vez y tenga cerdas suaves o medianas.
- Limpieza de la línea gingival: barrer cuidadosamente la unión entre el diente y la encía. Si esta zona está sensible, puede utilizarse el dedo con movimientos delicados.
- Uso de hilo dental: introducirlo suavemente entre los dientes y moverlo de adelante hacia atrás para quitar la película bacteriana. Es esencial hacerlo al menos una vez al día, idealmente por la noche.
- Cepillado de la lengua: ayuda a eliminar restos de alimentos y microorganismos acumulados que también contribuyen al mal aliento.












