

- Cuál es la forma definitiva de eliminar el sarro de los dientes
- Enfermedades bucales comunes: gingivitis, periodontitis, caries y más
- ¿Cómo eliminar el sarro dental y con qué frecuencia visitar al odontólogo?
- ¿Cuáles son las mejores técnicas para cepillarse los dientes y prevenir la acumulación de sarro?
- El sarro dental: causas, prevención y tratamientos efectivos
El sarro dental es una película o placa bacteriana mineralizada que se adhiere entre las encías y los dientes, pudiendo provocar serios problemas de salud bucal en las personas.
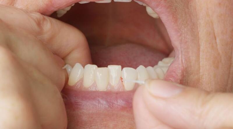
Una forma efectiva de prevenir la formación de sarro es mantener una higiene adecuada de los dientes, cepillándolos de dos a tres veces al día y utilizando hilo dental para eliminar la placa.
Cuál es la forma definitiva de eliminar el sarro de los dientes
La forma más efectiva de eliminar el sarro de los dientes es mediante una limpieza regular realizada por un odontólogo. Las visitas al dentista para quitar la placa deben hacerse cada 6 meses o, al menos, una vez al año, según la propensión del paciente a sufrir esta condición.

La acumulación de sarro en los dientes puede causar diversas enfermedades que afectan la salud y la estética bucal, ya que las bacterias acumuladas en la línea de las encías pueden provocar su retracción, dejando las raíces del diente expuestas y aumentando el riesgo de pérdida de la pieza dental.
Enfermedades bucales comunes: gingivitis, periodontitis, caries y más
Gingivitis: es la inflamación de las encías causada por la placa en la boca. Las bacterias acumuladas dañan las encías, provocando inflamación y sangrado.
Periodontitis: es el avance de la gingivitis que provoca la retracción de las encías y la destrucción del hueso que sostiene los dientes, lo que puede llevar a la pérdida dental.
Caries: son bacterias que dañan la estructura del diente y generan agujeros o cavidades en la pieza dental. Las caries surgen cuando las bacterias metabolizan la azúcar acumulada y producen un ácido que destruye el esmalte dental.
Halitosis: es el mal aliento causado por la proliferación excesiva de bacterias que producen azufre y generan un mal olor en la saliva.
Sensibilidad dental: la inflamación o retracción de las encías puede dejar expuestos los nervios de los dientes, causando sensibilidad a alimentos y bebidas calientes o frías.

¿Cómo eliminar el sarro dental y con qué frecuencia visitar al odontólogo?
El sarro dental debe ser eliminado con cuidado por un odontólogo utilizando herramientas especiales, como curetas, raspadores dentales y ultrasonido para quitar la placa de manera segura y eficaz.
Además de seguir una rutina de higiene bucal adecuada, es fundamental evitar la acumulación de sarro en los dientes asistiendo a un dentista o especialista en periodoncia cada 6 meses o, como máximo, una vez al año, para que el odontólogo limpie las áreas afectadas.
¿Cuáles son las mejores técnicas para cepillarse los dientes y prevenir la acumulación de sarro?
El sarro dental: causas, prevención y tratamientos efectivos
El consumo de alimentos ricos en azúcares y carbohidratos puede aumentar la formación de sarro, ya que estos nutrientes alimentan a las bacterias que generan la placa. Por lo tanto, es recomendable mantener una dieta equilibrada y limitar la ingesta de estos productos para proteger la salud bucal.
Además, el tabaco no solo mancha los dientes, sino que también contribuye a la acumulación de sarro y aumenta el riesgo de enfermedades periodontales. Dejar de fumar puede mejorar significativamente la salud dental y reducir la formación de placa bacteriana.













