

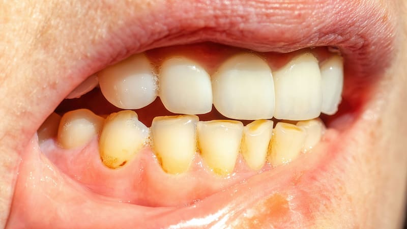
El sarro de los dientes consta de una película o placa bacteriana mineralizada que se pega en el espacio entre las encías y los dientes y que puede causar problemas graves de salud bucal de las personas.
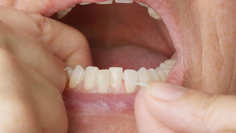
Una buena forma de evitar que se forme el sarroes a través de una correcta higienización de los dientes mediante el cepillado de dos o tres veces por día y el uso de hilo dental para quitar la placa.
Cuál es el método definitivo para quitar el sarro de los dientes
La mejor manera de quitar el sarro de los dientes es a través de una limpieza regular hecha por un odontólogo. Las visitas al dentista para remover la placa deben realizarse cada 6 meses o, como mínimo una vez al año, dependiendo de que tan propenso sea el paciente a padecer esta condición.
El problema de acumulación de sarro en los dientes puede provocar distintas enfermedades que dañan la salud y hasta la estética bucal, ya que las bacterias acumuladas en la línea de las encías pueden generar su retracción, haciendo que las raíces del diente queden al descubierto y pueda caerse la pieza dental.

La lista de enfermedades que causa la acumulación de sarro en los dientes
Gingivitis: es la enfermedad de inflamación de las encías a causa de la placa presente en la boca. Las bacterias acumuladas suele dañar las encías, provocando que se inflamen y sangren.
Periodontitis: se trata del agravamiento de la gingivitis a tal punto en se produce la retracción de las encías y la destrucción del hueso que mantiene a los dientes, por lo que puede provocar la pérdida de la pieza dental.
Caries: se trata de bacterias que dañan la estructura del diente y provocan agujeros o cavidades carcomiendo la pieza dental. Las caries se producen cuando las bacterias metabolizan el azúcar acumulada en las piezas dentales y crean un ácido que destruyen el esmalte dental.
Halitosis: es nada más ni nada menos que el mal aliento debido a la proliferación excesiva de bacterias que producen azufre y provocan un mal olor en la saliva de la persona.
Sensibilidad dental: la inflamación de las encías o bien su retracción puede dejar expuestos los nervios de las piezas dentales y provocar una sensibilidad a los alimentos y bebidas tanto calientes como frías.

¿Cómo sacar el sarro de los dientes y cada cuánto hay que ir al destista?
El sarro dental debe ser extraído cuidadosamente por un odontólogo con herramientas espciales, tales como una cureta, raspadores dentales y ultra sonido para remover la placa, de forma segura y efectiva.
Además de tener una rutina de higiene bucal adecuada, lo importante para evitar la acumulación de sarro en los dientes es asistir a un dentista o especialista en periodoncia cada 6 meses o como máximo una vez al año, para que el odontólogo limpie las zonas afectadas.
¿Cómo lavarse bien los dientes para evitar el sarro?
- Cepillarse los dientes luego de cada comida y previo a irse a dormir. Hacerlo con movimientos cortos y vibrantes. Es fundamental que el cepillo abarque como mucho dos o tres dientes y no ejercer presión sobre la dentadura. Las cerdas del cepillo deben ser suaves o medianas.
- Con extremo cuidado barrer la línea de las encias (entre diente y encia) para remover la placa acumulada en estas zonas. Si vez que te lastima, se debe reemplazar el uso del cepillo en esta parte y usar simplemente el dedo y realizar movimientos suaves.
- Utilizar hilo dental entre cada diente. Se debe introducir la seda de forma suave y realizar movimientos de atrás hacia adelante para remover la película de bacterias que se acumula en los espacios entre cada pieza dental. Es importante hacer esto al menos una vez al día, mínimamente antes de irse a dormir.
- Cepillar la lengua: para quitar restos de comida y bacteria acumuladas en la zona.













